如今,网络直播可以说是一种非常普遍的现象了,
但相信也没有几个人直播过开颅手术,而且还是自己的开颅手术吧……
25岁的Jenna Schardt 是一名乔治亚州布雷瑙大学的医学生,
最近,她正在接受职业治疗师培训,方向是帮患者应对中风症状。
然而,命运似乎跟她开了一个玩笑,本该帮助病人缓解痛苦的她,却意外地患上了癫痫。

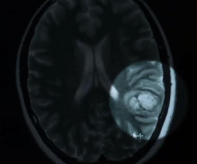
在经过医生的诊断之后,医生判断Jenna患上癫痫的原因,是因为大脑中有一团畸形的纠缠在一起的血管,称为海绵状瘤。(图片显示在右侧)

事实上,这其实并不是什么特别罕见的症状。
这种病虽然少见,但与其它的肿瘤类的畸形状况相比,患上这种海绵状瘤的几率其实还要更高一些。
据估计,大约每100到200人之中,就有一个人会患有海绵状瘤,但大约有四分之一的患者从来没有出现过任何症状。
目前人们还没有发现这种症状出现的原因,只知道这是血管纠缠在了一起。
随着这个肿瘤体积的增长,它会对人类的大脑形成压迫,从而破坏大脑的部分功能,
最终可能导致视力丧失、精神错乱、恶心、头痛、睡眠困难、平衡障碍等一系列问题。

在发现了这个目前影响还不大的肿瘤之后,一开始,医生还想通过药物治疗来缓解Jenna的症状,但却一直没有效果。
所以,为了防止Jenna脑内肿瘤的恶化,也为了让Jenna能够顺利地完成学业和正常生活,医生最终决定,为Jenna进行开颅手术来去除这些纠缠到一起的血管。
但问题在于,这个海绵状瘤的位置是在Jenna大脑的左半球,控制语言的区域内,
因此哪怕在手术中出现了一个小失误,都有可能导致jenna在今后都无法与人正常交流。

所以,医生想出了一个办法——清醒开颅术,也被称为“唤醒麻醉功能去脑肿瘤的切除术”。
具体是怎么操作呢?
医生准备先麻醉Jenna,然后在开颅完成后,再将她唤醒,
在Jenna清醒的时候,仔细寻找在脑内手术的行进路线,避免影响到她大脑的某部分功能。
在确定了手术方案之后,身为医学生的Jenna也欣然接受了,
甚至她还决定,通过直播的方式,让所有人都能观察到她的手术过程,
让人们更直观地对癫痫、中风等疾病,还有开颅手术有一个更为直观的了解。
“我非常镇定……如果这(直播)可以给其他人提供一个学习机会的话……我心甘情愿。”
最终这个星期二,在达拉斯医学中心的帮助下,Jenna在病房里开启了一次别开生面的直播。
在直播开始后,镜头缓缓地对准了Jenna的面部,这也是她唯一没有被蓝色手术布盖起来的部分。
而为了能够保持良好的沟通,医生也没有给Jenna准备呼吸机,而是把一根绿色的导管插进她的鼻子里来提供氧气。

接着,手术开始。
医生固定住了Jenna的头部,然后移除了她的头骨,当然,这部分操作是在手术布后面完成的。
过了一会儿,Jenna的嘴角抽动的两下,睫毛也开始抖动,
这时,手术室里有人发出了小声的惊叹,“哦!她要醒了!”
片刻之后,Jenna睁开了双眼,平静地注视着周围的环境。
整个过程大概持续了有一个半小时的时间,在这段时间里,医生切除了她的一块头骨,然后局部麻醉了头骨周围和围绕大脑的三层保护组织——脑膜。
没有麻醉大脑,是因为大脑本身其实几乎没有感受疼痛的方式。
而等到Jenna彻底苏醒之后,情况良好,Jenna除了感觉到自己的脑袋被什么东西夹了之外,就只稍稍有一点口干的感觉,这是被麻醉后的常见副作用。

看到一切顺利,
医生开始偷偷用金属的医疗器械轻轻地戳Jenna的大脑。
这个不是医生调皮,而是在设计手术的路线。
因为这个海绵状瘤的位置特殊,所以一旦手术路线偏差到左右2毫米,都有可能影响到Jenna的语言中枢,所以医生必须在切除肿瘤之前,确定好手术的路线。
在一切准备妥当之后,医生举着一个iPad给Jenna看,让她念出所看到的内容。
每换一张图片,iPad都会发出一声提示音,这时负责确定手术路线外科医生就会开始刺激Jenna大脑的一块区域。

Jenna看着屏幕,缓缓念出图片的内容:
“蝴蝶,乌龟,香蕉,橘子,男人,四只鞋……”
然后突然,Jenna哽住了,在停顿了一段时间之后,才磕磕巴巴地说出了下一个单词。
于是医生明白,那里危险,不能碰。
就是通过这样的方式,医生才规划好手术的路线,确定手术器材应该碰哪里,更重要的是,不能碰哪里。

在经过测试之后,医生们最终确定了手术的路线,他们决定开始摘除这个瘤了。
而为了保证这个阶段不出差错,Jenna还得继续清醒一会儿。
负责监控Jenna状态的医生来到她面前,开始跟她聊天。
Jenna倒是显得心很大:
“我能听见机器和手术工具的声音,太牛了!”
随后,医生示意Jenna随便说点什么,于是她开始滔滔不绝地讲起了自己养的小狗,还说到了未来的发展方向。

最终,医生终于找到了这个海绵状瘤,他们决定,是时候让Jenna的嘴巴休息一会儿了。
于是他们加大了麻醉剂量,让Jenna昏睡过去,然后关掉了摄像头,开始手术。
……
几个小时之后,Jenna慢慢苏醒过来,一切良好。
看着镜头,她竖起了大拇指。

接下来,她还必须再接受一段时间的监测,以确保整个海绵体瘤都被完整切除,而且语言功能没有收到任何影响。
而如果一切顺利的话,大概在明年,Jenna就能完全康复,并且完成她的职业治疗硕士学位了。

最后,也祝福Jenna能够顺利康复,并且在未来,能够带给更多的人健康吧。
ref:
https://www.dailymail.co.uk/health/article-7626983/Students-open-brain-surgery-livestreamed-AWAKE.html
https://nypost.com/2019/10/29/dallas-woman-jenna-schardt-to-be-awake-and-livestreaming-her-brain-surgery/
https://abcnews.go.com/Health/25-year-dallas-woman-livestreams-brain-surgery/story?id=66615097




