Alfie Deyes是来自英国的知名油管博主,粉丝数高达361万。
平时他主要分享家庭趣事,视频氛围轻松愉悦,可粉丝们看在眼里却日渐担忧,因为镜头中的Alfie越来越瘦了。
看着评论区里大家关心的留言,Alfie也不知该如何解释,他不是刻意减肥,而是根本吃不下饭……

(Alfie Deyes,32岁)
事实上,Alfie已经有12年无法正常进食了,他一直有严重的胃酸倒流和吞咽困难,可换过好几个医生,尝试过无数治疗方案,却始终无法找到病因和解决办法。
这么大的博主,经济方面肯定也无需担心,他找的大概率都是最好的医生,却始终没有任何效果。
最后医生判断是压力过大引发的身体不适,彼时Alfie的油管频道迅速走红,粉丝数飙升,每个月都要发布几十支视频,确实压力不小。
于是接下来的十多年里,他把希望都放在了缓解压力上,还戒掉了很多可能加重症状的食物和饮品,比如汽水、酒、咖啡以及面包等。然而情况却变得更糟了,他越来越难以吞咽……
“有时我才刚咬下一口,就咽不下去了,感觉食物卡在了嗓子眼里。”
“比如我吃了一个汉堡,那整个汉堡都会卡在我的食道里,然后要用一整天的时间,才会慢慢地、一点一点地‘滴’进胃里,从来没有直接下到胃里过。”
过去三年,他的症状尤其严重,几乎都吃不完一顿饭,这才导致体重骤降。他甚至不再和亲友外出聚餐,在公共场合进食反而成了新的压力来源。
而就在他走投无路之际,没想到一个短视频,把他给救了……

(Alfie Deyes)
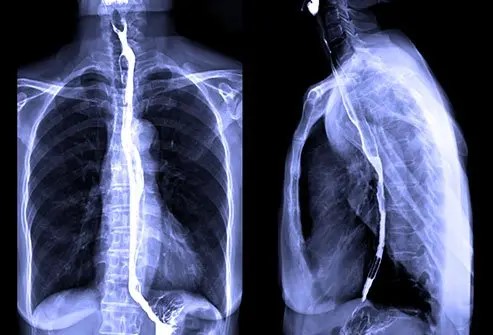
某晚Alfie正在刷TikTok,偶然看到一段视频,内容是一名女子在做钡餐造影检查,她吞下了一种白色粉状液体,让医生通过X光观察食物流向及是否存在阻塞。
Alfie还没尝试过这项检查,当即心生希望,觉得可以一试。
医生倒是同意了他的请求,但丑话说在前头:“100个做这种检查的人里,99个都发现不了问题。”
可偏偏,他就成了幸运的那1个。12年都没能找到的病因,这次,医生透过X光一下就发现了异常。
“我发誓,还不到10秒,医生就说:‘哦,我知道问题在哪儿了,我看得很清楚。’”
“那一刻我真的震惊极了,因为我终于找到了解决办法。12年来,这个问题几乎毁了我的生活。”

(钡餐造影示意图,来自网络)
原来他的病症并不是压力所致,而是因为他患上了一种极其罕见的吞咽障碍 —— 食管贲门失弛缓症(oesophageal achalasia),每10万人中只有不到12人罹患。
这种疾病的具体表现为,食管肌肉无法正常收缩,导致食物无法顺利进入胃中,主要症状就是吞咽困难、胃酸倒流,还可能出现胸部感染、剧烈咳嗽以及食物反流等,间接导致体重下降、体内矿物质缺乏以及肌肉萎缩。
好在治疗不算困难,事后Alfie接受了一项简单的手术,医生帮他放松了食道肌肉,使食物能顺利进入胃部,据他回忆,整个过程大概也就4到6分钟,然后他真的又能正常吞咽进食了。

(Alfie Deyes已治疗成功)
该手术的放松效果因人而异,患者可能维持得住几天、几个月、几年、甚至永久。Alfie算比较幸运的,截至目前没再出现过吞咽困难,现在他终于又能尽情享受美食了。
“当你长期患有一种找不到答案的疾病时,它真的会占据你的全部生活……我无法用言语形容,现在的生活发生了多大的改变。”
当他把这十几年的经历分享到网上时,粉丝们也都替他高兴:
“我完全理解。真无法想象连续12年进食困难、找不到原因、还被告知只是压力所致的那种感受。终于找到病因并解决问题的那一刻,一定十分不可思议。看得我都想哭了,真心为你感到高兴!”

(来自YouTube评论区)
没想到医生检查十多年,都不如Alfie灵机一动。
好在他从未放弃希望,自己治愈了自己。




